ひざ関節を専門とする整形外科医が解説する「変形性膝関節症」 “ひざの軟骨は再生する”と考えるその理由
高齢になると多くの人がひざの痛みや歩行のトラブルを抱える。60代から急に増える「変形性膝関節症」という病気は代表例といえるだろう。
「加齢とともにひざの軟骨はすり減り、歩くときに痛みが出たり、歩けなくなったりする。一度すり減ったら、簡単には戻らない。自力では戻せない……」と言われることもあるが、本当だろうか。
ひざ関節を専門とする整形外科医の巽一郎氏が、「関節を痛めずに全身を鍛える」たつみ式体操を初公開した著書『足腰復活100年体操』(サンマーク出版)から一部抜粋、再構成してお届けする。
教えてくれた人
医師・巽一郎さん
医師。ひざのスーパードクター。1960年生まれ。静岡県立薬科大学薬学部卒業後、大阪市立大学医学部に入学。薬学部4年時にバイクで大けがをし生死の境をさまようなか、亡き父の「本当に好きなことをやれ」という言葉に奮起、薬学部卒業後に大阪市立大学医学部に入学という経緯を持つ。卒業後は同附属病院整形外科に入局し手術三昧の日々を送りながら、米国(メイヨー・クリニック)と英国(オックスフォード大学整形外科留学)などに学び、世界最先端の技術を体得。人工膝関節手術の常識を変える「筋肉を切らない・傷口の小さい」手術の開発や、からだへの負担を最小限にする「半置換術」の積極的導入など、日本屈指の技術と、患者の立場に立った診療方針で全国各地から人が絶えない。評判の手術の腕の一方で「すぐには切らない」医師として話題を集める。「手術は最後の手段」と、オリジナルの温存法を提案し患者とともに挑戦の日々。湘南鎌倉総合病院人工膝関節センター長を15年務めた後、2020年より一宮西病院人工関節センター長に。
* * *
「軟骨復活」の2つのパターン
指を切ったとき、最初は血小板が集まりファイバーでひっつき、マクロファージがそれを食べると細胞分裂が起こって同じ組織で繋がり、再生します。
誰もがこの「治る力」をもっていて、無意識に使っています。それなのに、「ひざの軟骨(だけ)は再生しない」と信じている。指を切ったときは病院に行かないのに、ひざは手術しかないと思っている。それはおかしいです。
ひざの軟骨も毎日、破壊と再生を繰り返していて、シーソーゲームのバランスが崩れたときには、破壊に傾きます。でも、軟骨もほかの細胞と同じで、「治る力」が発揮されるよう補助すれば再生します。
「ひざの軟骨が再生する」場合、大きく分けて2つのパターンがあります。
A:もともとの軟骨(硝子軟骨)が再生する
B:もともとの軟骨は再生できないが、代替えの軟骨(線維軟骨)ができる
この2つです。
軟骨が少しでも残っていればAのパターンで「もともとあった硝子軟骨」が再生します。10あった軟骨が2か3にまで減少したとしても、負荷をかけずに再生する方向へ舵を切れば、10まで戻すことができます。
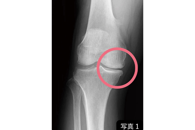
別掲の写真1を見てください。初期の「変形性膝関節症」の人のひざ関節の、立った状態のレントゲン写真です。関節の中を見ると、大腿骨と脛骨の間に隙間が見えます。
軟骨の成分は7割が水分なので、レントゲンには写りません。立って、ひざに体重をかけた状態でレントゲン撮影をして、大腿骨と脛骨の間に隙間があれば、それを軟骨の量と考えます。
写真1の隙間に注目すると、関節の外側の隙間を10とすると、内側の隙間は3ぐらいまで減っていますね。こうなると軟骨の間に挟まれた半月板は居場所が狭くなり、定位置からずれ、関節の外へ押し出されます。この患者さんも初診時ひざの痛みや、曲げ伸ばしのときに引っかかる感じを訴えていたので、半月板を損傷している可能性がありました。
ひざ関節の痛みや歩行のトラブルを訴えて病院に来る患者さんの約7割はこのケースと同じ、初期の状態の人です。この時期は半月板損傷による痛みが多い。
しかし、硝子軟骨は減ったものの残っているし、半月板もなくなったわけではありません。それぞれの連続性を回復させられたら、からだの「治る力」で治る(再生させられる)。写真1の「初期」の人は、Aパターンで軟骨が復活するというわけです。
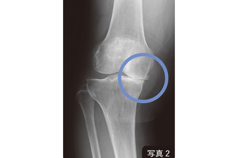
次に、もう1枚の別掲写真2を見てみましょう。中期の「変形性膝関節症」の人のひざを、立った状態でレントゲン撮影したものです。関節の中を見ても、内側の大腿骨と脛骨の間に隙間はありません。大腿骨と脛骨がほぼくっついてしまっています。
つまり軟骨は完全になくなってしまった。半月板の居場所もなくなっている。連続性を回復するには、元々の細胞が少しでも残っていることが必要です。しかし中期のこの患者さんの場合は、元々の硝子軟骨がほぼゼロ。連続性を回復させて、元の軟骨を再生させるのは難しい。Aパターンで治ることはかなり難しいということです。
しかし、この場合もからだの「治る力」を発揮させるセルフケアを行うと、代替えの軟骨(線維軟骨)ができ、痛みや歩行の問題が改善することが確認されています。これが代替えの線維軟骨によってひざ軟骨が復活するBパターンです。
Aパターンは本来そなわっていた「硝子軟骨」の再生なので、元通りのひざを取り戻し、元通りの生活ができると考えていいです。
Bパターンは代替え品の「線維軟骨」だから、正しくは「再生」とは言えない。「復活」ではあるけれど、Aパターンで再生する「硝子軟骨」よりは軟骨の品質が劣るので、必ずしも元通りのひざを取り戻せたと言えないかもしれません。
ですから僕は、なるべくAパターンで治せるうちに、「治る力」を発揮させるセルフケアを始めることが何より大事だと考え、患者さんたちに「保存療法」を伝えてきました。
